FA
Pediatric Orthopedic Specialist Clinic
Gallery
Faq
Contact Us
Home
About
Knowledg Base
Diseases Of Children
Terms
Educational videos
Medical Articles
Orthopedic emergency
FA
Menu
Menu
Home
About
Knowledg Base
Diseases Of Children
Terms
Educational videos
Medical Articles
Orthopedic emergency
Gallery
Faq
Contact Us
Orthopedic emergency
Orthopedic Emergency And Fractures
Tibial Plafond Fractures
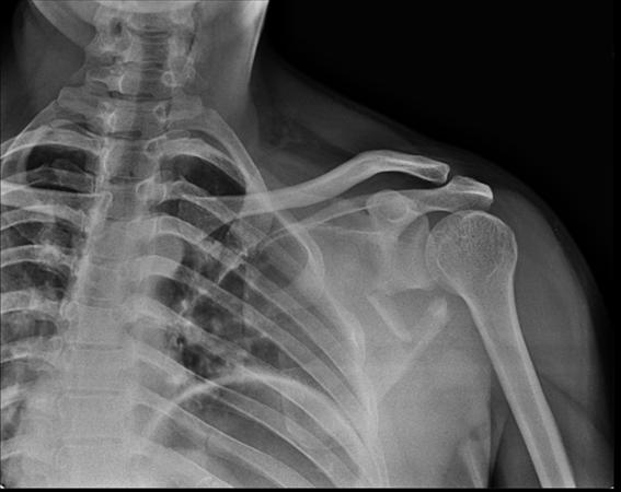
Scapula Fractures
Radius and Ulnar Shaft Fractures
Talus Fracture (other than neck)
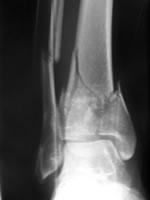
Ankle Fractures
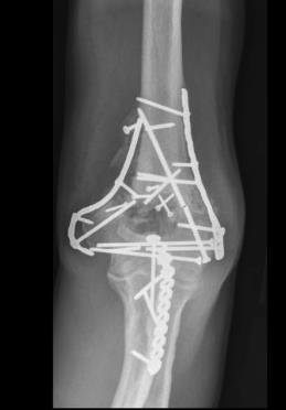
Distal Humerus Fractures
Calcaneus Fractures
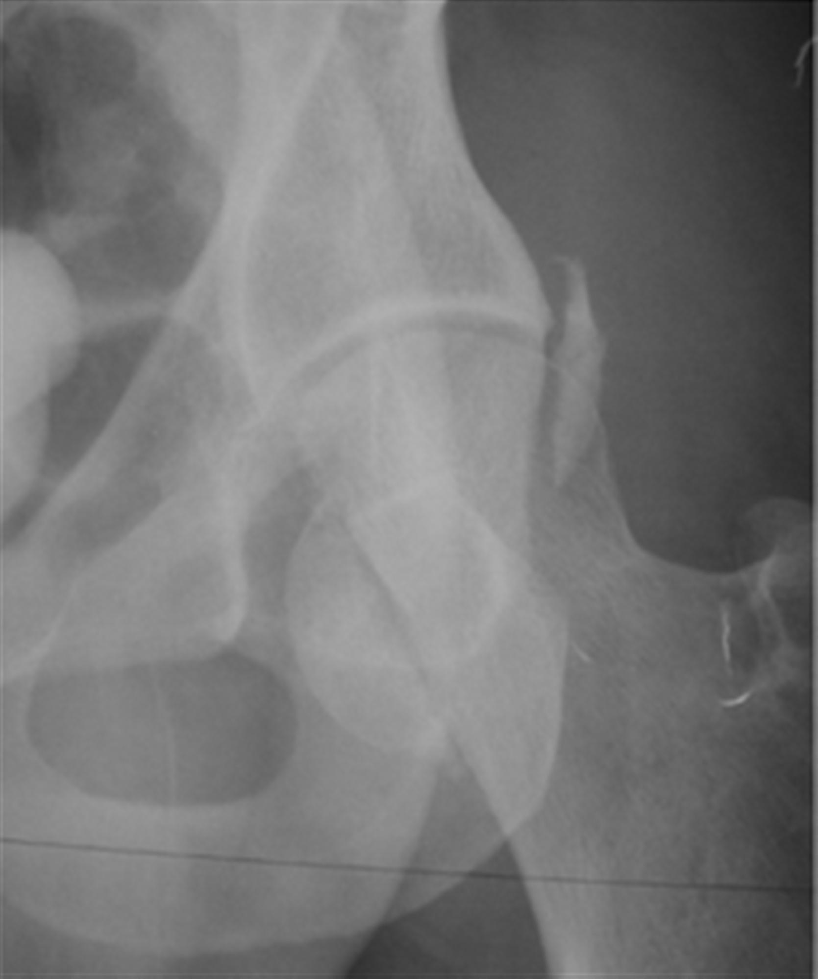
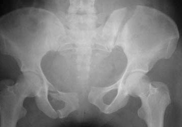
Ilium Fractures
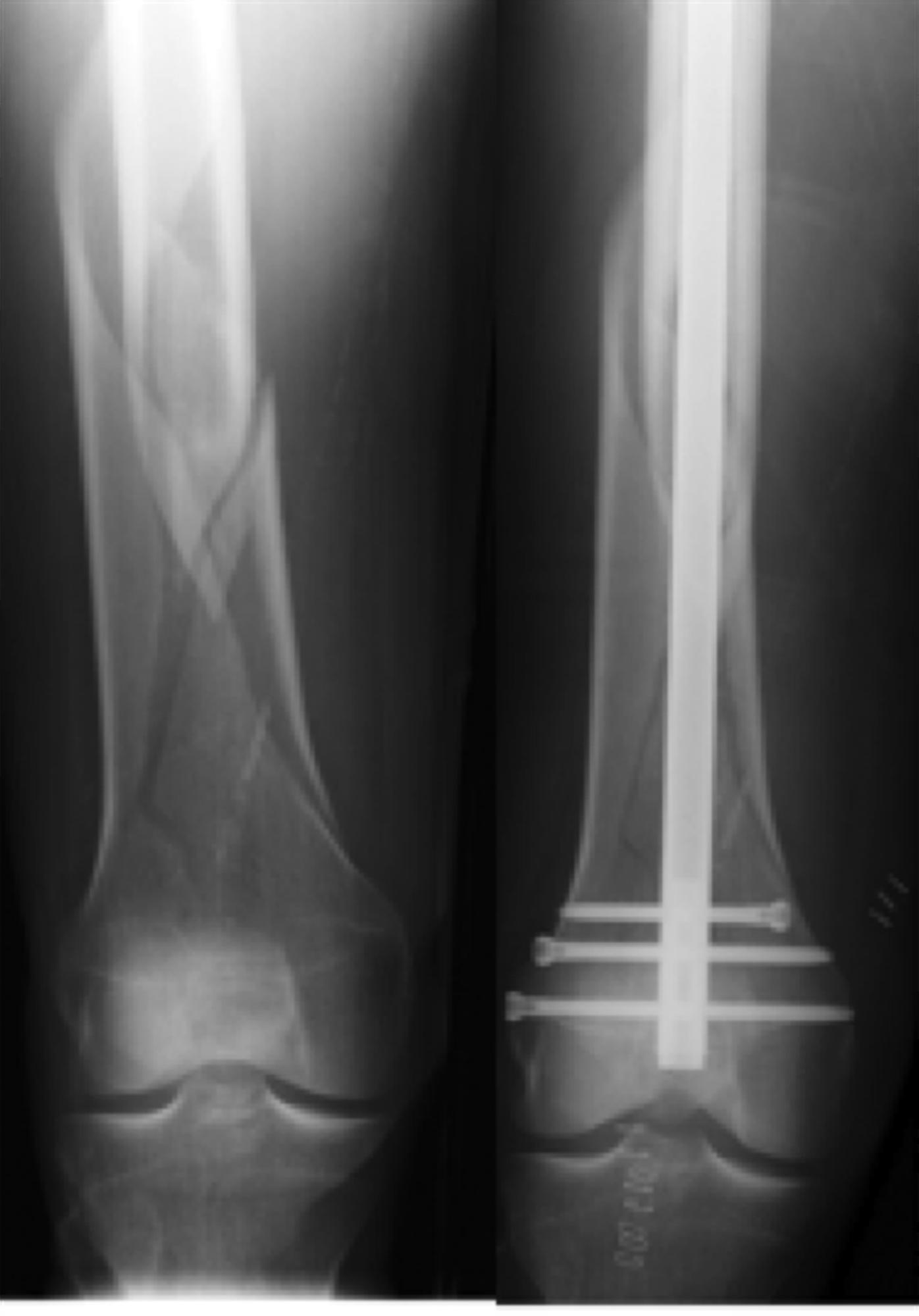
Femoral Shaft Fractures
Femoral Head Fractures
Tibial Plateau Fractures
‹
1
2
›
Doctor Attendance Calendar
.To book an appointment, visit the following site
Appointment Reservation
All Rights Are Reserved for Abtahian's Pediatric Orthopedic Clinic