FA
Pediatric Orthopedic Specialist Clinic
Gallery
Faq
Contact Us
Home
About
Knowledg Base
Diseases Of Children
Terms
Educational videos
Medical Articles
Orthopedic emergency
FA
Menu
Menu
Home
About
Knowledg Base
Diseases Of Children
Terms
Educational videos
Medical Articles
Orthopedic emergency
Gallery
Faq
Contact Us
Orthopedic emergency
Orthopedic Emergency And Fractures
Thigh Compartment Syndrome
Hand & Forearm Compartment Syndrome
Leg Compartment Syndrome
Foot Compartment Syndrome
Ankle Dislocation
Wrist dislocation
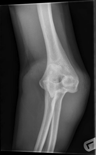
Elbow Dislocation
Hip Dislocation
Subtalar Dislocations
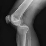
Knee Dislocation
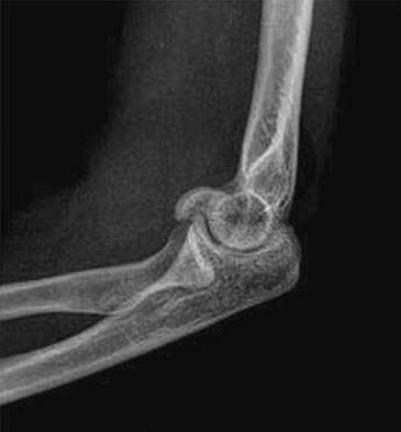
Capitellum Fractures
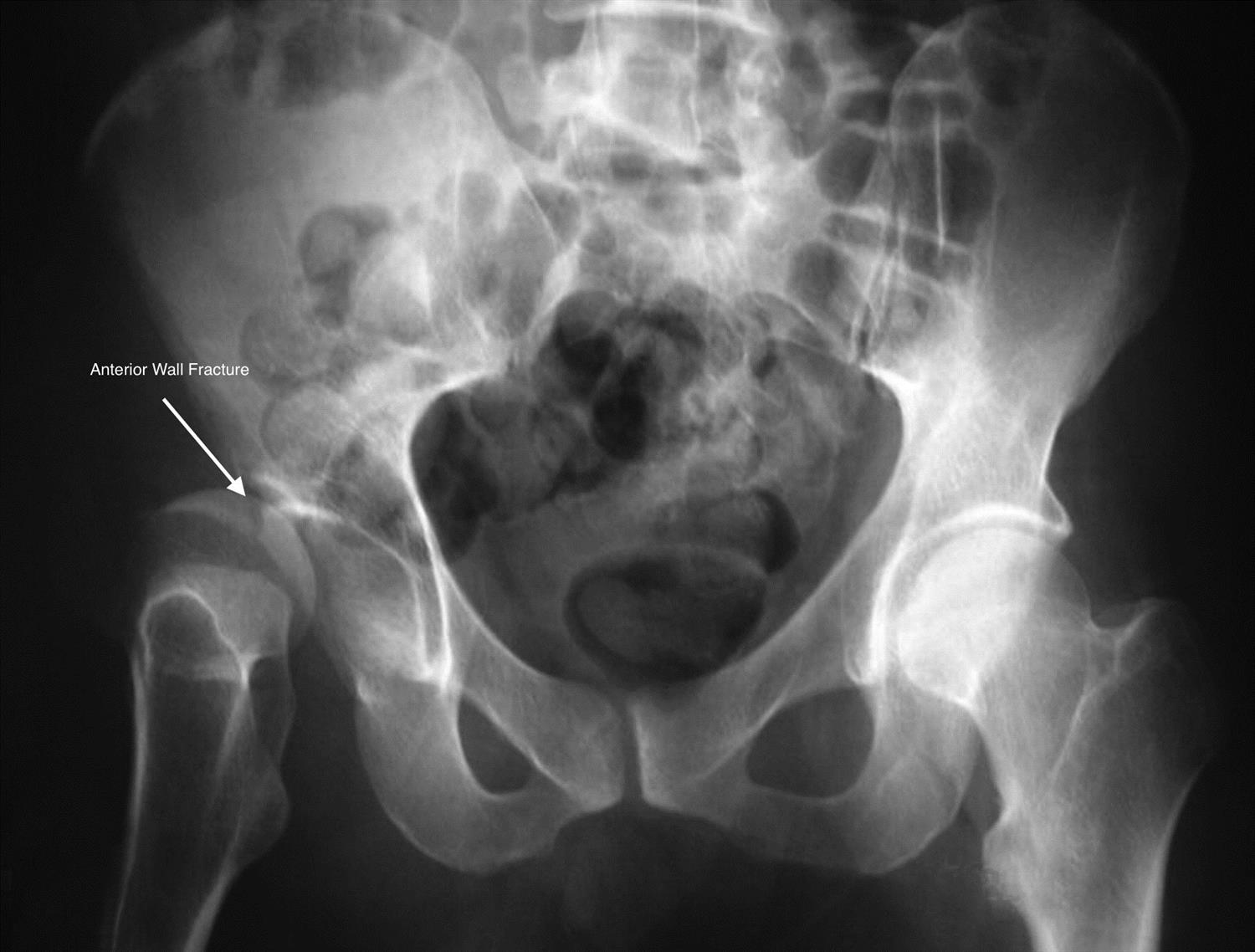
Acetabular Fractures
‹
1
2
›
Doctor Attendance Calendar
.To book an appointment, visit the following site
Appointment Reservation
All Rights Are Reserved for Abtahian's Pediatric Orthopedic Clinic